The gallbladder is an insignificant but vital organ in your body. A lot of people learn about gallbladder disorders only when pain begins, or an ultrasound scan finds something abnormal. The most frequent questions asked by patients are regarding the Normal Gallbladder Size
If you’ve received an ultrasound report and are confused by the measurements, or want to know the difference between what’s normal and what’s not, this guide is ideal for you. This guide provides everything in an extremely simple language that anyone who has no medical background will easily comprehend.
We’ll explain the role of the gallbladder, what it is, the importance of its size and what doctors mean by normal size, the way ultrasound can measure it, and the times it is time to be concerned. The entire subject is explained concisely and clearly without jargon or medical terminology.

What Is the Gallbladder? (Simple Explanation)
The gallbladder is a small, pear-shaped body situated in the upper right-hand side of your abdomen, beneath the liver.
Its primary job is straightforward:
- It stores the bile, which is a digestive liquid produced by the liver.
- It produces bile after you consume foods, particularly fatty ones.
- Bile helps your body digest fats properly.
The gallbladder doesn’t produce the bile. The liver produces bile, and the gallbladder is the only organ that stores it and releases it when it is needed.
Since it stores bile, the gallbladder may change in size depending on the amount of food you’ve eaten. This is why doctors examine the gallbladder’s size with great care.
Why Gallbladder Size Is Important
Gallbladder size tells doctors a lot about your digestive health.
Normal gallbladder size usually refers to: Normal Gallbladder Size generally refers to:
- The gallbladder is functioning properly.
- There is no blockage of the flow of bile
- There isn’t any significant swelling or inflammation.
An unusual gallbladder measurement could indicate:
- Gallstones
- Gallbladder disease
- Blocked bile ducts
- Gallbladder inflammation
- Rare gallbladder disease
It is for this reason that the reports on ultrasounds always include the gallbladder’s size.
What Is Normal Gallbladder Size?
Let’s answer this crucial question clearly and concisely.
What is the normal gallbladder volume?
The Normal Gallbladder Size is the normal dimensions of a gallbladder that is healthy when examined by ultrasound, particularly in cases of fasting.
In simple terms, a typical gallbladder:
- It’s not too big
- Is it not too small?
- It has thin walls
- It has a smooth, rounded form
Doctors evaluate your gallbladder’s measurements against standard measurements to determine whether it’s normal or abnormal.
Normal Gallbladder Size in Adults
The normal size of the gallbladder in adults is pretty similar for all people, irrespective of body type, as long as the individual is in good health and eating a healthy diet.
Normal measurements for adults:
- Length: 7 to 10 cm
- Width: 3 to 4 cm
- The thickness of the wall: not more than 3 millimeters
If your gallbladder’s measurements are within the range of this, doctors typically think it is normal.
Normal Gallbladder Size in cm
Many ultrasound reports refer to the measurements in centimeters. These may be confusing at first.
Normal gallbladder size in centimeters (easy form):
- Length: 7-10 cm
- Width: 3-4 cm
- The thickness of the wall: approximately 0.3 cm (3 millimeters)
These are healthy when an ultrasound is performed after fasting for at least 6-8 hours.
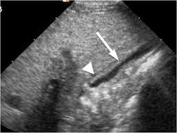
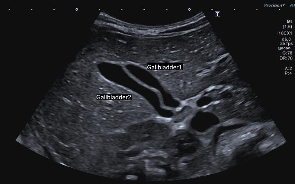
Normal Gallbladder Size on Ultrasound
Ultrasound is the most commonly used and reliable test to determine the size of the gallbladder.
Normal gallbladder volume on ultrasound indicates:
- Properly shaped
- Clear bile inside
- There are no sludge or stones
- Smooth and thin walls
- Standard size to be used for the fasting state
Doctors generally advise patients to fast before the ultrasound due to food choices that can alter the size of the gallbladder.

Why Fasting Is Important Before Ultrasound
If you consume food, especially fat-rich food, the gallbladder expands to release the bile.
If you do not fast:
- The gallbladder shrinks
- The measurements of size can appear odd.
- Ultrasound results can be deceiving.
This is why fasting is vital to ensure the correct assessment of the normal size of the gallbladder.
Normal Gallbladder Size for Men and Women
Many people inquire if the gallbladder sizes differ between women and men.
The size of the gallbladder that is normal for men as well as women
Most of the time:
- The average size is nearly the same for males and females.
- Some minor differences can be attributed to the body’s size
- Gender does not cause major size differences
Doctors don’t use separate size charts for males and women during routine practice.
Normal Gallbladder Size Chart
A size chart can help you quickly determine whether the gallbladder’s dimensions are normal.
Normal gallbladder size chart
- Length: 7-10 cm
- Width: 3-4 cm
- Wall thickness is less than 3 millimeters
- Volume (fasting): up to 50 ml
If values exceed the range, doctors could look into it further.
Gallbladder Size Before and After Eating
Gallbladder size changes naturally in the course of meals.
Gallbladder size before and after eating
Before having a snack (fasting):
- Gallbladders are bigger and fuller.
- It is easier to quantify
- For diagnosis
After eating:
- Gallbladder contracts
- It gets smaller
- Releases the bile
The change in size is normal and demonstrates that the gallbladder is functioning correctly.
When Gallbladder Size Is Abnormal
A gallbladder that isn’t normal in size does not always indicate a serious condition; however, it shouldn’t be overlooked.
When the gallbladder’s size is unusual, it could refer to:
- Gallbladders are enlarged.
- The gallbladder is contracted even during fasting
- The thickness of the walls is raised
- Shape is disfigured
Doctors will always review reports and symptoms together before making an assessment.
Enlarged Gallbladder Size Causes
A gallbladder that is larger than normal means it is larger than normal when fasting.
The causes of gallbladder swelling include some of the following symptoms:
- Gallstones are hindering the flow of bile
- Gallbladder inflammation
- Infections of the bile ducts
- Tumors (rare)
- Fasting for a long time
- Liver disease
An over-extended gallbladder is usually the reason for medical attention.

Symptoms of Abnormal Gallbladder Size
A few people with abnormal sizes have symptoms, but some do not.
The symptoms of an unusual gallbladder size can include:
- Pain in the upper right abdomen
- The pain after eating fatty food
- Nausea or vomiting
- Bloating
- Indigestion
- Fever (in infection cases)
If the symptoms continue, a medical consultation is recommended.
How Doctors Measure Gallbladder Size
Doctors make use of ultrasound to determine the size of the gallbladder.
Measurement procedure:
- The patient lies down
- The ultrasound probe is put on the abdomen
- Images are taken
- Length, width and wall thickness can be determined
It’s painless and takes just a couple of minutes.
Does Age Affect Gallbladder Size?
Age can have a slight effect, but not a significant one.
- Children have smaller gallbladders.
- Adults are in good shape and have a stable body size
- The elderly may experience minor changes
However, the size of the gallbladder in adults remains the same across the ages.
Gallbladder Wall Thickness and Its Importance
Wall thickness is just as important as the size.
- Normal wall thickness is less than 3 millimeters
- Thick walls could be a sign of inflammation.
- Thin walls usually mean the gallbladder is healthy and in good shape.
Doctors test the wall thickness with the dimensions.
Can Gallbladder Size Return to Normal?
In some instances, yes.
- Temporary swelling due to fasting can be normalized
- Mild inflammation can be relieved by treatment
- Removal of stones can bring back the function
However, chronic diseases might not completely heal.
Difference Between Enlarged and Contracted Gallbladder
Gallbladders that are larger:
- Larger than normal
- Sometimes, this is because of an obstruction
Contracted gallbladder:
- Smaller even during fasting
- It could be caused by chronic inflammation
Both require a medical examination.
Is Normal Gallbladder Size Always Healthy?
Yes, mostly; however, it is not always the case.
- Stones may be present in the normal dimensions.
- Sludge could be present
- Early signs of disease might not alter size
This is the reason doctors examine the complete ultrasound report.
Lifestyle Tips to Maintain Normal Gallbladder Size
Good habits can help keep your gallbladders in good shape.
- Take balanced meals
- Beware of eating too many fatty meals
- Drink plenty of water
- Maintain a healthy weight
- Avoid long fasting periods
These practices are in support of normal gallbladder functioning.

Conclusion
Knowing the typical gallbladder size is crucial for anyone who is reading reports on ultrasounds or having digestive issues. The gallbladder in a healthy state is 7 to 10 centimeters for adults, and displays transparent bile and thin walls when viewed on ultrasound. The size changes that occur before and after meals are common and indicate normal gallbladder function. However, an increase or change in size may indicate an underlying issue that requires medical treatment. Understanding the basics can help you talk with your physician and better manage your digestive health. Always consult your doctor if symptoms arise or if the results from the ultrasound are abnormal.
FAQs About Normal Gallbladder Size
1. What’s the typical gallbladder size for adults?
The normal size of the gallbladder in adults typically ranges from 7 to 10 cm in length and 3 to 4 centimeters in width as measured by ultrasound following fasting. These numbers suggest a healthy and well-functioning gallbladder that is functioning properly.
2: What is the normal gallbladder size in centimeters when viewed on ultrasound?
The typical gallbladder size measured in centimeters when ultrasounded is usually 7-10 centimeters in length, with walls that are thinner than 0.3 millimeters. Any measurements that are outside of this range could require further examination.
3: Can food intake affect the size of gallbladders?
It is true that the size of your gallbladder prior to and following meals changes in a natural way. The gallbladder grows larger before meals, but shrinks after eating, as it releases bile to aid digestion.
4: What factors cause a larger gallbladder?
An increased size of the gallbladder can lead to the formation of gallstones, bile-duct obstruction, inflammation, and infections. An enlarged organ should be examined by a medical professional.
5. What are the symptoms of an abnormal gallbladder?
Signs of an abnormal gallbladder size could include nausea, abdominal pain, and bloating, as well as indigestion and pain following eating fatty food. There are some people who do not experience any symptoms in any way.